MARFAN SENDROMU NEDİR?
Marfan Sendromu, kalp-damar, iskelet sistemi ve göz bozuklukları ile kendini gösteren bir hastalıktır. Hastalar uzun boyludur. Hastada bağ dokusu bozuktur. Anne veya babada bu hastalık olduğu zaman çocuğa geçme riski yüksektir. Genetik geçişlidir yani kalıtsal bir hastalıktır. Hastanın ‘Fibrillin-1 veya FBN1' adı verilen gendeki bozukluğu nedeniyle vücuttaki bağ dokusu yapısı etkilenir.
Marfan sendromu, doğuştan gelen bir hastalık olmasına karşın, ergenlik veya genç erişkin döneme kadar tanı konamayabilir. Genelde hastalık, yaşla birlikte ilerler ve bağ dokusunda değişiklikler oldukça belirtiler fark edilir. Sendrom, kas-iskelet sistemi, diş, göz gibi vücudun değişik bölgelerini etkilemesine rağmen, Marfan sendromunda hayatta kalmayı etkileyen başlıca sorunlar kalp-damar sistemine aittir.
Hastalığın temel belirtileri ise;
- Fiziksel görünüm:
Uzun ve ince vücut yapısına sahip olan hastaların kolları, bacakları ve parmakları orantısız ve uzundur. Omurgada eğiklik ve göğüs kemiğinde -iman tahtası- öne doğru çıkıntı olabilir.
- Diş ve kemik sorunları:
Damakları normalden yüksek olan bu hastalarda, dişler genelde bir yere toplanmıştır. Düz tabanlık sık gözükür.
- Göz sorunları:
Uzağı net görememe (miyop), göz merceğinin olması gereken yerden kayması (lens subluksasyonu) olabilir.
Damar değişimleri: Kan damarlarının duvarı zayıflar ve genişler. Kalpten çıkan aortanın ilerleyici tarzda esnemesi sonucu aortun yırtılması hastalığın tipik özelliğidir. Aort genişlemesi ve baloncuğun yırtılması, bu sendromun önemini artıran ve hayatı tehdit eden özelliğidir.
Kalp kapak sorunları: Kalbin özellikle mitral kapağı etkilenir ve kapağın düzgün kapanmamasına yol açarak (mitral kapak prolapsusu) kapakta yetersizliğe yol açar.
Kardiyomiyopati: Kalp kasında zamanla gelişen zayıflamadır ve kalp yetersizliği ile sonuçlanabilir.
Aritmi: Kalp ritminde bozulma saptanabilir.
MARFAN SENDROMLU HASTADA NE GÖRÜLÜR?
Bu sendromun en önemli iki bulgusu:
1- Göz merceğinin normal yerinin dışında bulunması
2- Aort damar tutulumu
Marfan Sendromlu hastaların yaklaşık %75'inin hasta olan bir ebeveyni vardır. Bu nedenle anne/baba ayrıntılı muayene edilmelidir. Eğer ebeveynlerden biri etkilenmiş ise doğacak çocuklarda %50 hastalık riski vardır. Ailede hastalığa neden olan gen değişiniminin bilinmesi halinde doğum öncesi tanı yapılabilir. Hastalar genetik uzmanı, kardiyolog, göz hastalıkları uzmanı, ortopedist ve kalp damar cerrahisi tarafından işbirliğiyle izlenmelidir. Marfan sendromunda kalp damar şikayetleri vakaların %90'nda vardır. Mitral kapağın normalden daha kalın, gevşek ve yumuşak olması durumu hastaların %40-77 ‘nde bulunur ve genellikle hafiftir. Aort kökü genişlemesi olan hastalarda yırtılma gelişebileceği için eğer genişlik 4.5 cm az ve dengeliyse ekokardiografi ile yıllık takip önerilir; 5 cm fazla ise veya yılda 0,5 cm fazla genişleme ve ailede yırtık hikayesi varsa cerrahi işlem gereklidir.
Hastaların yaklaşık %5'inde ise göğüs boşluğundaki aort balonlaşması saptanmıştır. Aort duvarındaki kan hareketliliği stresi azaltmak için sıklıkla beta blokerler gibi ilaçlar reçete edilir. Tedaviye tanı anında veya ilerleyici aort kökü genişlemesi geciktirme amacıyla kesin tanı olmasa bile başlanabilir. Tedavi dozu egzersiz veya huzursuzluk sonrası küçük çocuklarda dakikada 110' un, büyük çocuklarda dakikada 100'ün altında tutulacak şekilde verilmelidir. Mitral veya aort kapak tutulumlarında cerrahi müdahalelerinde enfeksiyon riskini önleyici antibiyotik kullanımı sağlanmalıdır.
Nasıl Tanı konulur?
Marfan sendromu klinik bir tanıdır. Kalp ve damar sistemindeki değişiklikleri değerlendirmek ve kalp ritmi sorunlarını tespit etmek için elektrokardiyorafi (EKG) ve kalbin odacık ve kapakçıkları ile özellikle aortun hastalıktan sık etkilenen kısmını görmek için ekokardiyografi (kalbin ultrasonografisi) yapılmalıdır. Aortun bölümleri bu inceleme ile saptanamazsa veya daha detaylı inceleme yapılması gerekiyorsa transözefajiyal ekokardiyografi, manyetik rezonans veya bilgisayarlı tomografi incelemesi gerekebilir.
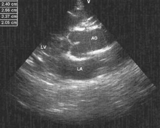
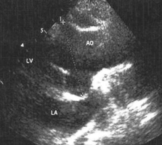
Aşağıdaki resimleri inceleyiniz. İlk resimde hastalığı olmayan bir kişinin ekosu yapılmıştır. AO ile yazan yer hastanın AORT DAMARI dır. 2. resimde ise Marfan hastalığı olan bir kişinin kalp ekokardiyografisi. Dikkat edilirse AO yazan aort damarı genişlemiş ve kapak düzenliliği bozulmuştur. İşte bu yüzden Marfan hastalığında 6 ayda bir eko tetkiki ile takibi gereklidir.
Nasıl Tedavi edilir?
Kesin bir tedavisi olmamakla beraber, hastanın durumuna göre bir tedavi şekli gerektirir. Dolayısıyla, bu hastaların düzenli aralıklarla belirli tıbbi kontrolleri yaptırmaları gerekir.
Tedavi, hastalığın kötü sonuçlarını önlemek veya kontrol altına almak için ilaç tedavilerini -beta-blokerler ve anjiyotensin reseptör blokerleri (ARB) gibi- ve daha ileri durumlarda örneğin aort damarında genişleme veya yırtılma durumunda ise cerrahi tedaviyi kapsamaktadır. Ameliyat kararı, aortun boyutuna, aort büyümesinin hızına ve aile geçmişine bağlı olarak verilir. Ameliyatta aortun genişleyen kısmının yerine yapay damar ‘greft' konulur.
