ABDOMİNAL YANİ KARIN İÇİ DAMARIN BALONLAŞMASI VE ANEVRİZMASI
Damar hastalıkları içinde tedavisi mümkün olan ama tedavi edilmezse tam anlamıyla öldürücü olan bir hastalıktır. Eğer böyle bir hastalığa sahipseniz ve/veya yakınınız sahipse lütfen bu paylaşımdaki yazıyı ve videoları tam anlamıyla takip ediniz. Okuyucuların konuyu tam olarak anlaması için bu paylaşımda hem videolar hem de resimler mevcuttur. İnanıyoruz ki hastalığını tam olarak anlayan bir kişi, tedavinin planlanması sürecinde doktoru ile olumlu ilişki içinde olur ve hep beraber şifaya ulaşırlar.
Peki, abdominal aort anevrizması ne demektir?
Kelime kelime inceleyelim.
Abdominal: Karın bölgesi
Aort: Kalpten çıkan ve karın içinden geçen vücudun en büyük atar damarı
Anevrizma: Damarın genişlemesi ve balonlaşması, demektir.
Yani, karın içinden geçen vücudun en büyük atardamarı olan aortanın genişlemesidir.
Damardaki bu genişleme ilerleyicidir ve ölümcül kötü sonuçlara varabilecek ciddi bir durumdur. Anevrizma genellikle damarların sertleşmesi ve kireçlenmesi veya karın bölgesine olan darbeler sonucu oluşur. 60 yaş üzeri kişilerde yaklaşık %2 oranında görülmekte iken 65 yaş üzerinde olan erkeklerin yaklaşık %5 inde görülür. Erkeklerde görülme sıklığı kadınlara göre 4 ila 10 kat fazladır.
Yukarıdaki gazete haberinin tamamını okumak için TIKLAYINIZ veya okumaya devam ediniz:
"Haydar Sukuşu’nun (82) balonlaşarak 8 santimetreye ulaşan karın aort damarının içine, lokal anesteziyle 3 santimetre çap, 8.2 santimetre uzunlukta suni damar takıldı.
Sağlık sorunları nedeniyle uyutulamadığı için lokal anesteziyle ameliyat edilen Sukuşu, ameliyatta doktoruyla sohbet etti.
“Hasta kaybedilebilirdi”
Bakırköy Sadi Konuk Eğitim ve Araştırma Hastanesi Kalp ve Damar Cerrahesi Klinik Şefi Doç. Dr. Ahmet Algül, hastanın yaşı, sağlık sorunları ve verilen bazı ilaçlar nedeniyle uyutmayı uygun bulmaklarını söyledi. Hastanın kasığından lokal anestezi uygulandı. Karındaki anevrizmanın çok büyük ve riskli olduğunu vurgulayan Doç. Dr. Akgül, “Tek taraflı anevrizmada basınç yükseldiği için patlama ve kanama riski yüksek. Hasta karnında adeta kuvvetli bomba taşıyordu. Ameliyatı yapmasaydık bir hipertansiyon atağında balonun patlama riski vardı. Hasta kaybedilebilirdi” dedi.
Konuşa konuşa ameliyat
Anjiyo laboratuvarında gerçekleştirilen operasyonda, hastanın kasığından katater yardımıyla karın aortuna ulaşıldı. Damarın içine kanın balonlaşan bölgeye geçişini engelleyecek suni damar takılarak yeni bir yol yapıldı. Şekli pantolona benzeyen suni damarın aşağıda kalan iki kolu, bacak damarlarına bağlandı. Doç. Dr. Akgül, “Artık kanı hiçbir şekilde anevrizmaya uğramıyor, suni damardan geçiyor. Bir süre sonra kanlanamayan ve devre dışı kalan anerizma kendi kendine yok olacak” dedi. Öte yandam işlem yaklaşık 45 dakika sürdü. Anevrizmanın patlama ihtimaline karşı bir ameliyathane hazır tutuldu."
Abdominal aort anevrizması niye oluşur?
Bu hastalar genellikle yüksek tansiyonu olan kişilerdir. Yıllardır süren tansiyon damar duvarını bozup karındaki aort damarını yaşlandırır ve sertleştirir. Hasta sigara da kullanıyorsa damar kireçlenmesi artar ve zayıflayan damar duvarı dışarıya doğru baloncuk yapar. Hastalar genellikle 60 yaşın üzerindedir ve genellikle erkeklerdir. Bu hastalarda zaten kalp damarlarına ait şikayetler de mevcuttur.
Hastanın şikayetleri nedir?
Eğer karın içindeki aort damarındaki genişleme çok büyük değilse hastanın ilk başta pek şikayetleri olmaz. Bu nedenle nevrizmalar çoğu kez rastlantıyla bulunur, yani hasta başka nedenlerle doktora gider ve yapılan tetkiklerde tesadüfen abdominal aort anevrizmasına rastlanılır. Eğer karın içindeki bu baloncuk yeterli büyüklükte ise karın ağrısı, mide bulantısı, iştahsızlık, bacaklarda uyuşma, bacaklarda üşüme, karın duvarında kalp nabızlarını hissetme gibi şikayetler ortaya çıkar. Anevrizmanın içinde pıhtı oluşur ise bu pıhtı bacaklara gidip bacak damar tıkanmaları yapabilir. Baloncuk iyice büyürse yırtılabilir ve abdominal aort anevrizmasının ilk şikayeti ani ölüm bile olabilir.
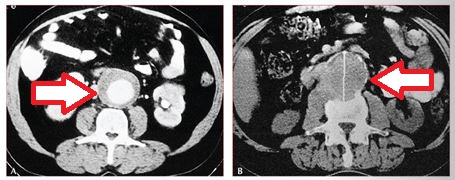
Hastalığın tanısı nasıl konur?
Abdominal aort anevrizması ne zaman ve nasıl tedavi edilir?
Bu hastalıkta en korkulan durum karın içindeki bu anevrizmanın yani baloncuğun yırtılmasıdır. Bu nedenle hasta kesinlikle doktorun takibinde olmalıdır. Hastanın tansiyonu kontrol altına alınmalı, kullanıyorsa kan sulandırıcı ve aspirin tedavileri kesilmelidir. Hastanın anevrizma çapı ultrason ve/veya bilgisayarlı tomografi ve/veya emar tetkiklerinde ölçülmelidir ve kayıt edilmelidir. Eğer anevrizma çapı 5 cm in üzerinde ise veya yılda 0.5 cm in üzerinde çapta artış varsa artık anevrizmanın yırtılma riski çok arttığından anevrizmaya yönelik girişim yapılmalıdır. Bu girişim 2 şekilde yapılır:
1- Açık ameliyat:
Hasta genel anesteziye alınıp, uyutulur. Karın bölgesinden ameliyat kesisi yapılır. Aort damarına ulaşılır, aort damarına anevrizmanın üzerinden yapılan kesi ile girilir. Anevrizmanın içindeki pıhtılar alınır ve yapay damar konularak işlem bitirilir.
2- Kasıktan anjiografik olarak stent koyma yani endovaküler yöntem:
Hasta anjiografi laboratuarına alınır ve uyutulmaz. Kasıktan küçük bir kesi ile kasık damarına girilir ve kateter konulur. Kateter yukarı doğru ilerletilerek anevrizmanın içine girilir ve sonra anevrizma içinde stent konulur. İşlem bitirilir.
HABERTÜRK GAZETESİ HABERİ
Aşağıdaki gazete haberinin aslını yukarıdaki başlıkta bulunan linke tıklayarak da görebilirsiniz.
Doğan Cüceloğlu aort yırtılması nedeniyle hayatını kaybetmişti! Aort yırtılmasından korunmak için bu önerilere dikkat!
Psikolog ve yazar Prof. Dr. Doğan Cüceloğlu'nun ölüm sebebi belli oldu. Aort damarı yırtılması nedeniyle hayatını kaybeden Cüceloğlu, sevenlerini yasa boğdu. Aort damarı yırtılması, yaklaşık beş yıl önce ünlü sanatçı Oya Aydoğan'ın da hayatını kaybetmesine neden olmuştu. Aort yırtılması vakalarının yaklaşık yüzde 40'ı ani ölümle sonuçlanıyor. İstanbul Üniversitesi-Cerrahpaşa Sağlık Bilimleri Fakültesi Dekanı, Kalp ve Damar Cerrahisi Uzmanı Prof. Dr. Ahmet Akgül, aort yırtılmasında en güçlü risk faktörünün hipertansiyon olduğunu vurguladı. Bu nedenle sigara kullanımının ve obezitenin bir an önce engellenmesi, ailesinde kalp damar hastalığı bulunanların ise çevresel faktörleri düzenlemesi, gerekli kontrollerini yaptırması öneriliyor. Habertürk'ten Demet Demirkır'ın haberi:
Psikolog ve yazar Prof. Dr. Doğan Cüceloğlu'nun (83) aort damarı yırtılmasına bağlı olarak hayatını kaybettiği bildirildi. Bilinen bir rahatsızlığı olmayan ve iki yıl önce kalp ameliyatı geçirdiği ifade edilen Cüceloğlu, ölümüyle sevenlerini yasa boğdu.
Ünlü sanatçı Oya Aydoğan da (59) yaklaşık beş yıl önce yemek yerken rahatsızlanmış, aort damarının yırtılması üzerine hastaneye kaldırılmıştı. 12 saat süren ameliyatın ardından tedavisi yoğun bakımda devam eden Oya Aydoğan hayatını kaybetmişti.
Peki aort yırtılması nedir, aort damarı yırtılması en çok kimlerde görülür, aort yırtılmasını önlemenin yolları neler? İstanbul Üniversitesi-Cerrahpaşa Sağlık Bilimleri Fakültesi Dekanı, Kalp ve Damar Cerrahisi Uzmanı Prof. Dr. Ahmet Akgül, bu konuyla alakalı bilinmesi gerekenleri Habertürk'e anlattı.
Prof. Dr. Ahmet Akgül, "Aort, kalpten çıkan en büyük ana damardır. Bütün vücuda kan veren ve dallarıyla bütün vücudu besleyen ana atardamarımızdır. Özellikle tansiyon ölçümü yaptığımız kollar ile amacımız; o atardamar içerisindeki kanın duvara yaptığı basıncı ölçmektir. Biz aortun içindeki kan basıncını tansiyon cihazıyla ölçeriz. Tansiyonu ölçmenin amacı şudur; eğer tansiyon belli bir limitin üzerindeyse o atardamar yavaş yavaş genişlemeye başlar. Aynı zamanda hastada kolesterol, hareketsizlik, stres ve yaşın ilerlemesiyle beraber damar duvarlarında da plaklar oluşmuşsa veya damar duvarı kireçlenmişse, sertleşmişse o zaman damar genişlemesine bağlı duvarda harabiyet olur ve bu damar duvarı yırtılır" dedi.
AORT YIRTILMASI İKİ ŞEKİLDE MEYDANA GELİYOR
Aort yırtılmasının iki şekilde olduğunu söyleyen Prof. Dr. Akgül, "Birincisi, damar duvarının içinden yırtılabilir; çünkü damar duvarı üç katlıdır. Bu katların arasına kan girerek yırtmış olur ve buna aort diseksiyonu denir. İkincisi, aort duvarı tamamen ayrılır ve kan dışarı yani vücudun boşluklarına, göğüs boşluklarına akar. Buna da aort rüptürü denir" diye konuştu.
AORT YIRTILMASINDA RİSK FAKTÖRLERİ
Prof. Dr. Ahmet Akgül, aort yırtılmasında en önemli risk faktörünün hipertansiyon olduğunu aktararak şunları söyledi: "Hipertansiyonu oluşturan nedenler ise obezite, sigara kullanımı, ileri yaş, erkek cinsiyetidir. Bunlar damar yırtılmasını artıran durumlardır. Aynı zamanda kişide Marfan sendromu gibi doğuştan bağ dokusu hastalıkları varsa da aynı şekilde etkilenir. Marfan sendromu, kalp-damar, iskelet sistemi ve göz bozukluklarıyla kendini gösteren bir hastalıktır. Hastalar uzun boyludur. Hastada bağ dokusu bozuktur. Bağ dokusu iyi gelişmediği için aort duvarını oluşturan bağ dokusu da iyi gelişmemiştir bu nedenle burada aort yırtılması meydana gelebilir."
AORT YIRTILMASINDA BU BELİRTİLERE DİKKAT!
Aort yırtılmasının, genelde aort damarının genişlemesiyle ortaya çıktığına dikkat çeken Prof. Dr. Akgül, "Aort damarının genişlemesine aort anevrizması denir. Aort anevrizması, hem göğüste olabilir hem de karın içerisinde olabilir. Çünkü aort, kalpten çıkıp bacaklara kadar giden geniş bir damar sistemidir. Aort genişlemesi olduğu zaman hastada zaten tansiyon bulguları olur. Aynı zamanda hastalar yutma güçlüğü, göğüs ve sırt ağrısından şikayet edebilirler. Çok nadiren nefes darlığı olur. Diseksiyon olduğu zaman ağrı çok keskindir, bıçak saplanır gibi bir ağrı tarif edilir. 50-60'lı yaşlarda erkek hasta, göğsün ön veya arka kısmından çok şiddetli bir şekilde bıçak saplanmış gibi hisseder. Bu hastaların hemen kontrol edilmesi gerekir.
Bir de karında aort genişlemesi ve yırtılması söz konusudur. Bu hastalarda ise karın ağrısı meydana gelir. Karın içerisinde sanki nabız atıyormuş gibi bir his duyulur" açıklamasında bulundu.
AORT YIRTILMASINI NASIL ÖNLEYEBİLİRİZ?
Prof. Dr. Akgül, sözlerine şöyle devam etti: "Ailede, annede, babada, kardeşlerde veya dedelerde koroner arter hastalığı varsa, hastanın kalp damarlarında veya kalpten çıkan ana damarlarında bir hastalık varsa veya bir ameliyat olmuşsa o kişide de atardamar şikayetleri riski büyük olur. Bu kişiler 1-0 geriden başlarlar. O nedenle çevresel faktörleri çok iyi bir şekilde düzenlemeleri lazım. Sigara kesinlikle içilmemeli, obezite ve tansiyon engellenmeli, bu hastalarda özellikle aktivite önemlidir. Hastaların hiçbir şikayeti olmasa bile senede bir kez kalp ve ana damarlarının kontrolü gerekmektedir. Eğer risk varsa kontrol sayısı daha da sık yapılmalıdır. Bu hastalara anjiyografi yapılması gerekir hem aort damarını görüntülemek için aortografi hem de koroner damarlarını görüntülemek için koroner anjiyografi gerekir."
AORT YIRTILMASI NASIL TEDAVİ EDİLİR?
Aort yırtılmasına karşı uygulanan tedavi hakkında bilgi veren Prof. Dr. Ahmet Akgül, "Aort diseksiyonu yalnızca kalpten çıkan bölgede olmaz. Göğüsten aşağıya inen damarda da olur. O yüzden bunun tip 1, tip 2 ve tip 3 türleri vardır. Tip 3, kalpten daha uzakta, göğüs boşluğundaki aort damarındaki yırtılmadır. Bunları genelde medikal tedavilerle takip ederiz, ameliyat düşünmeyiz" dedi.
"TEDAVİ KALBE YAKINLIK DURUMUNA GÖRE PLANLANIR"
Prof. Dr. Akgül sözlerini şöyle sürdürdü: "Aorttan çıkan ana damar ve arkus dediğimiz bölgede yırtılma olduğu zaman beynin kanlanması da bozulacağı için ve yırtık kanamaya yol açacağı için bu kişilere ameliyat yapılır. Tedavi kalbe yakınlık durumuna göre planlanır. Kalbe yakınlık olduğu zaman kişi eğer uygun zamanda ameliyat olmazsa bu durum ölümcül seyredebilir; çünkü o damarların devamı şah damarıdır. Felç olabilir, ölüm olabilir ve diğer organların beslenmesi bozulabilir. Hasta ölmese bile gittikçe ölüme yaklaşan diğer organ bozuklukları olacaktır."
DİKKAT! HAPŞIRMA, ÖKSÜRME, AĞIR YÜK KALDIRMA AORTU YIRTABİLİR
Aort yırtılması riskine karşı önerilerde bulunan Prof. Dr. Akgül, "Kişi eğer tansiyon hastasıysa, özellikle erkekse, kiloluysa bu hastalarda bazen aort damarı geniş olabilir. Bu yüzden devamlı kontrol için kardiyologlara veya kalp damar cerrahlarına gitmesi gerekir. Çünkü burada ani bir göğüs içi basınç artışı bile damarda hasara yol açabilir. Mesela hapşırma, şiddetli öksürük, kabızlık, ıkınma, ağır yük kaldırma ani göğüs içi basınca neden olabilir. Sanatçı Oya Aydoğan da boğazına bir şey kaçtığında onu çıkarmak için öksürdüğünde ani basınç oluştu. Aort genişlemesi diseksiyonu zaten çok sınırda gider. Birden yayılır; çünkü orda basınç yüksektir, damar boylu boyunca yayıldığı zaman da ölüm riski çok yüksektir. O nedenle ailede eğer böyle bir öykü varsa kişinin kendisine çok dikkat etmesi gerekir" diye konuştu.
Yukarıdaki gazete haberinin ayrıntıları için lütfen TIKLAYINIZ veya aşağıdaki yazıyı okuyunuz:
Oya Aydoğan'ın aort damarının yırtılma nedenleri
Soluk borusuna takılan yiyecekler, sağlıklı bireyin aort damarını yırtabilir mi? Uzman gözünden Oya Aydoğan'ın yaşadıkları...
Cumartesi gecesi evinde patates kızartması yerken boğazına takılan kızartmayı çıkarmak için yoğun çaba sarf eden Oya Aydoğan'ın aort damarını yırttığı söylenmişti. Hastaneye kaldırılan Aydoğan, 12 saat süren ameliyatın ardından yoğun bakıma alındı.
Oya Aydoğan'ın sağlık durumu hakkında son bilgiler
Peki sağlıklı bir bireyin yemek yerken soluk borusu veya yemek borusuna takılan yiyecekler, gerçekten damarını yırtabilir mi? Kalp ve Damar Cerrahisi Uzmanı Prof. Dr. Ahmet Akgül, bu sorunun cevabını veriyor ve Oya Aydoğan'ın durumunu yorumluyor:
YİYECEKLER SAĞLIKLI BİR BİREYİN DAMARINI YIRTMAZ
Basında çıkan haberlerde “boğazına takılan patates kızartmasını çıkartmaya çalışırken aort damarı yırtıldı” olarak belirtilen acil ameliyat nedeni hakkında halkımıza açıklayıcı bilgi verme gereği doğmuştur. Öncelikle yemek yerken soluk borusu veya yemek borusuna takılan yiyecekler çıkarılması esnasında sağlıklı bir bireyin damarlarında yırtılma olmaz. Vücudun damar sistemi sağlıklı ise refleks hareketlerinden yani öksürme, hapşırma, ıkınma... gibi göğüs içindeki basınç artışlarından etkilenmez.
HİPERTANSİYON EN BÜYÜK NEDEN
Fakat kalpten çıkan ana damar olan aort damarında daha önce oluşan yıpranma, balonlaşma, duvarlarında harabiyet varsa bu tip refleks hareketlerinde bile yırtılma riski olabilir. Aort damarını bu tip riske hazırlayan en büyük etken kontrol altına alınamamış tansiyon yüksekliğidir. Hipertansiyon zamanla aort damarının duvarını yıpratır ve balonlaşmaya, kireçlenmeye veya diseksiyon denen içten yırtılmaya yol açar. İşte bu durumda basit bir öksürme bile damardaki hasarı artırıp yırtılmaya yol açabilir.
DAMAR HASARI OLUŞTURAN 2 SEBEP
Boğazına bir şey takılıp boğulma tehlikesi geçiren kişide damar hasarı oluşması için 2 önemli durum vardır: 1- Ölüm korkusu sonucu stres hormonlarının acilen yükselip damar içi kan basıncını çok yükseltmesi 2- Nefes alma zorluğunun uyardığı öksürme ve hapşırma refleksi sonucu göğüs içindeki basıncın artmasıdır. Her iki durumda da daha önce zarar görmüş aort damarı yırtılabilir. Ama “daha önce zarar” görmüş, yani kontrol edilememiş tansiyon sonucu zarar görmüş damar. Yoksa, sağlıklı bir aort damarı ani basınç yükselmelerine dayanıklıdır. Bu vesile ile yüksek tansiyon hastalığının ne kadar önemli sonuçlar oluşturabileceği akılda tutulmalıdır. Şu unutulmamalıdır ki, tansiyon yüksekliği olan bir kişide ani başlayan sırt, göğüs ağrısı varsa, bu ağrı sanki “bıçak saplanıyor” tarzında ise hastada “aort diseksiyonu” denen aort damar yırtılması riski vardır. Bu durumda en yakın hastaneye gidilmeli ve orada da tecrübeli kalp damar cerrahisi kliniği bulunmalıdır.




